- 審美インプラント
- インプラント症例集
- 動画で説明
- 治療の流れ
- 痛くない静脈内鎮静法
- 純チタンインプラント
- 安全な手術法について
- 治療実績・10年保証
- インプラントの費用
- 高齢化社会への対応
- インプラントの役割
- 治療の種類
- インプラントの構造
- メリット・デメリット
- 長持ちさせるには
- インプラントQ&A
- インプラントの歴史
審美インプラント
美しく前歯を治療
インプラント+ジルコニアによる
審美インプラント
当院では「より美しい口元になりたい」という多くの患者さまの要望に応え、10年ほど前から“審美インプラント”という治療法を確立させ、患者さまに提供させて頂いております。
機能性はもとより審美性にもこだわったインプラント治療として患者さまの満足度も高く、ご好評をいただいております。
患者さまの期待に違わぬ納得のいく
インプラント治療
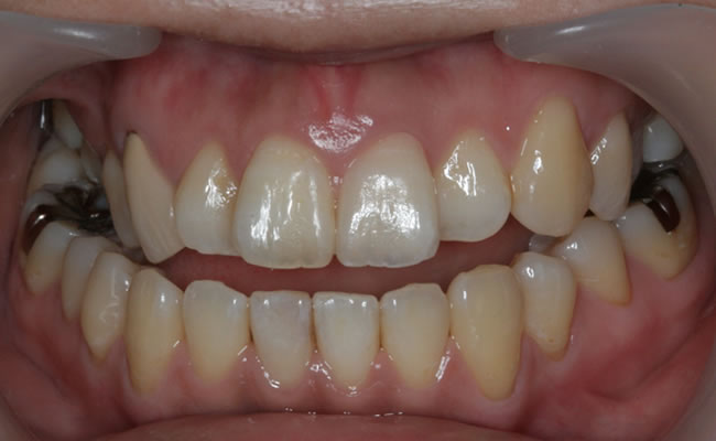
とくに前歯に関しては見た目に配慮し、仮歯や義歯を必要としないインプラントである“抜歯即時埋入法”という手法を取り入れております。 上部構造(かぶせ物)には、美しさももちろん、耐久性・生体親和性においても最高級のかぶせ物であるジルコニアを使用。患者さまの期待に違わぬ納得のいくインプラント治療を実現させています。

見た目を損なわない抜歯即時埋入法とは
抜歯即時埋入法とは麻酔鎮静医のもと静脈鎮静を行い、まったく無痛のまま抜歯し、すぐにインプラント埋入及び仮歯をセットさせていただく治療法です。
仮歯がすぐに入るため、抜歯後の審美的不満もなく過ごすことができるとともに、仮歯により歯ぐきの形状を維持することができます。
患者さまへの手術の負担が少ない治療法
歯ぐき及び骨の吸収を最小限に止め、手術が1回で済むために患者さまへの手術の負担が少ない治療法だと確信しており、10年にわたって改善を重ねながら提供させて頂いております。
上部構造(かぶせ物)について
インプラントを埋入したあとはかぶせ物(人工歯)の製作に入りますが、審美的にも十分に配慮し、最高レベルの仕上がりを目指しております。素材はセラミックの素材を選択することも可能であり、ジルコニアやメタルボンド、ハイブリッドセラミックなどからご相談によって選択をさせていただければと考えております。
とくに前歯に関しては、歯ぐきの立ち上がりからな自然な色に近いジルコニアを装着することは審美性を一層高め、歯ぐきの血色もよく見えるだけでなく、生体的親和性にも優れているという点で推奨されます。



