インプラントでお悩みなら
松戸のなんば歯科クリニック松戸
0120-51-2411
 
お気軽にお電話ください!
0120-51-2411
他院でインプラントをすすめられたが、
技術が不安な方
他院でインプラント手術を断られた方
骨がなくてインプラントはできない、
と言われた方
当院なら
インプラント専門医の手術で
難症例にも対応可能
怖くない痛みの少ない
インプラント治療
 
                    日本口腔インプラント学会(JSOI)が認定するインプラント専門医は、同学会がインプラント治療における豊富な知識や経験を持っていると認めた歯科医師に対して認定する資格認定制度です。
千葉県松戸市ではわずかに3名という非常にハードルの高い資格です。当院の院長はこの専門医の資格を取得いたしました。
また国際インプラント学会の専門医資格も保有しており、世界基準に沿った判断でインプラント治療が可能かどうかの判断が可能です。
詳しく見る 
                    松戸市でインプラント治療を始めて25年以上が経過し、その症例本数は5,000本を超えました。平成21年9月に歯科用CTを導入し、より正確な治療計画と安全・安心の治療を提供しています。
詳しく見る 
                    患者様のなかには、他院で断られた方や骨が1mmしかないような状態の方もいらっしゃいます。しかし私は治療が長期に及ぶことを含めてご説明し、患者様にご了承いただければ骨造成などでインプラントを埋入しています。難しい手術を経て実際に10年以上経っている患者様もいらっしゃいます。
詳しく見る 
                    インプラント治療は外科的な治療なので痛みがあるのではないかと不安に思われる方もいらっしゃると思います。当院では麻酔医による静脈内鎮静法を併用してインプラント治療を受けていただくことが出来ます。
歯科恐怖症の方や不安や緊張の強い方は、この「静脈内鎮静法」という半分眠ったような状態でリラックスしたまま治療を受けることができます。
詳しく見る 
                    当院では“ガイドシステム”という、出血量が少なく、痛みや術後の腫れが最小限に抑えられる最新の術式を導入しています。
通常のインプラント治療に比べて身体にかかる負担が大幅に軽減され、治癒にかかる時間も大幅に短縮できるなどメリットの大きな術式です。
詳しく見る 
                    安全性や耐久性、機能性からいっても純チタン製インプラントがチタン合金に比べて優位性があるため、当院で使用しているインプラントは純チタン製のみで、チタン合金のインプラントをこれまで一切使用していません。
詳しく見る 
                  一般的に術式が難しいと言われているオールオン4も、インプラント専門医が常駐する当院なら可能です。
オールオン4は全歯のインプラントと比較し、埋入本数を少なくすることができるため、手術の負担を軽くすると同時に費用も抑えた形で自分の歯と同じような審美性、咀嚼能力を取り戻すことができる画期的な治療法です。
詳しく見る 
 
            デジタルレントゲン・歯科用CTなどで口腔内写真を撮影し、患者様が理解しやすいように結果を説明します。
歯科用CTの画像をもとに患者様一人ひとりに合わせたマウスピース型の「サージカルガイド」を作成し、あらかじめ埋入位置を決定します。
 
            口腔内を見ながら、手術予定の歯以外で虫歯や歯並び、歯茎などに異常がないかを確認します。もし虫歯や歯周病が見つかった場合は、その治療が終了してからインプラント手術の日程を決めます。
 
            当日はインプラント手術の直前に、歯石除去や薬剤による細菌のコントロールをして、口腔内清掃を行います。
その上で口腔内の状況を再度確認し、問題がなければ手術室に入り、希望によって静脈内鎮静法を行います。
 
 
            歯科用マイクロスコープを用いて歯茎や骨・血管の状態を確認しながら、事前に作成したサージカルガイドに従って埋手術を行います。
骨が不足している場合は、患者の顎の骨や人工骨を使って骨を増やす治療が必要な場合もあります。
 
            インプラントは人工物のため、トラブルを起こしても自分では気づきにくいです。
定期的にメンテナンスをすることで、インプラント周囲炎などの予防や治療を行うことができます。
 
 
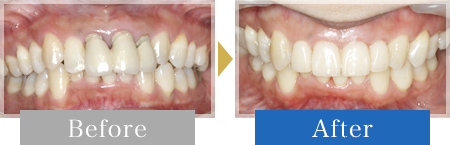
                患者様の声:もとの差し歯を変える必要が出て変えました。出来るだけ審美性を重視することをお願いしましたが、前歯の透明感や自然さだけでなく横顔もすっきりして満足しています。
 
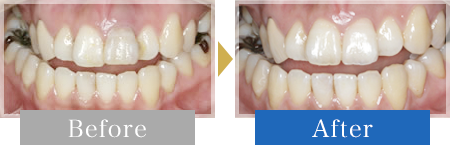
                患者様の声:傷んだ歯を抜歯後すぐに仮歯を入れてくれたので不自由しませんでした。何度か治療に行きましたが、歯の状態だけでなく歯肉も治療してもらったのですごく自然な状態に戻りました。
治療費:350,000円〜(税別)
				治療期間:2ヶ月〜6ヶ月程度
				治療によるリスク:過剰な咬合力がかかった場合、インプラント周囲炎により骨の吸収を認めることがあります。インプラント周囲炎を防ぐために、定期検診を受けましょう。
 
 
          松戸のなんば歯科クリニック松戸 院長
院長 難波 圭司
経歴
| 平成3年 | 明海大学歯学部 卒業 | 
| 平成3~5年 | 明海大学歯学部保存科 勤務(ITIインプラント Seminarにて認定) | 
| 平成5~7年 | 柏市開業医 勤務(ブローネマルクインプラント・寺西先生2年 Seminarにて認定) | 
| 平成7年 | 松戸市 なんば歯科クリニック松戸 開設(中村先生GBR Seminar認定) 神奈川歯科 佐藤教授 Sequential Occlusion Seminar | 
メッセージ
歯科クリニックに来られる患者様は、多かれ少なかれ緊張されています。そのため、患者様に対して緊張感を与えないようにお話することが大切だと考えています。お口の健康は身体全体に影響するものであり、ご自身のお口の状態を知ることはとても重要なことです。いつまでも健康な歯でしっかりと噛めるよう、当クリニックでは患者様のお口の状態をわかりやすく丁寧に説明させていただくことに重点を置いています。
患者様のなかには、ご自身のお口の中をきちんと見たことがないという方がたくさんいらっしゃいます。まずはレントゲン写真で現在のお口の中の状況を客観的に見ていただき、不良補綴や悪化している状況をご理解いただきます。そのうえで、どのように回復していくのか、最終的な目標はどのようにするのか、などの提案をさせていただきます。失ってしまった歯や虫歯になってしまった歯も、しっかりとケアや治療を施すことによって健康な状態に近づけることができるのです。
また、現在は医学の進歩によって治療方法もいろいろあるので、そのなかから、インプラント手術、義歯の使用、矯正治療など、今後予想される治療方法のメリットやリスクなどについて、費用のことを含めて細かく説明させていただきます。
まずは「何をするか」ということよりも「このような方法がある」ということを患者様に納得していただくことが大切だと考えています。患者様のご希望をしっかりとお聞きし、ご要望に応えられるよう努力していますので、お気軽にご相談ください。
少しでも患者さんにとってより良い歯科医療を提供するため、第三者機関に依頼して患者さん満足度調査を行っています。率直なご意見をいただき、改善すべき点は真摯に受け止めていきたいと思っております。 当院には患者さまの個人情報は一切伝えられませんので、是非、暖かいお言葉、おしかりのお言葉、たくさんお寄せ下さい。
インプラント相談
			※CT撮影・専門医による即時診断 5500円(税込)
			ご相談・ご予約を受け付けております。
※お電話でのお問い合わせですとスムーズにご案内が可能です。
恐れ入りますが、メールのお返事にお時間をいただく場合がございます。
お急ぎの方はお電話でお問い合わせください。
お電話でのお問い合わせですとスムーズにご案内が可能です。
| 月 | 火 | 水 | 木 | 金 | 土 | 日 | |
|---|---|---|---|---|---|---|---|
| 9:30〜13:30 | ◯ | △ | ◯ | × | ◯ | ◯ | × | 
| 14:45~18:00 | ◯ | △ | ◯ | × | ◯ | ◯ | × | 
※△:火曜日は隔週13:30-19:00まで診療です。
        ※休診日:木曜日・日曜日・祝日
お電話でのお問い合せ
0120-51-2411
ご予約は、2営業日以降の日程をご指定ください。
後程、当院よりメールあるいはお電話にてご連絡させて頂き、確定したご予約日時をお伝え致します。
※ マークは必ず入力してください。
お電話でのお問い合せ
フォームが送信できない場合や、メールフォームの控えが届かない場合は、
お手数ですがお電話をお願い致します。
0120-51-2411